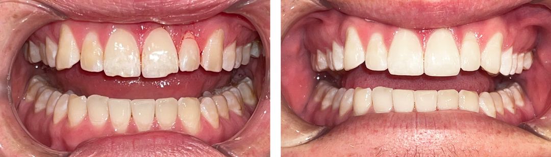
PORCELAIN VENEERS
Porcelain veneers are incredibly thin shells made from high-quality ceramic material. These custom-made coverings are specifically designed to fit over the front surface of teeth, providing a natural-looking and aesthetically pleasing appearance. Porcelain veneers offer a versatile solution for addressing various dental imperfections such as chips, cracks, discoloration, misalignment, and irregularly shaped teeth.
Once the porcelain veneers are carefully bonded onto existing teeth using specialized dental cement or adhesive techniques, patients can enjoy an improved smile that blends in seamlessly with their surrounding natural teeth. With proper care and regular check-ups by a qualified dentist, porcelain veneers can last for many years while enhancing both the function and beauty of one's smile.
 
                          BONDING, SHAPING & CONTOURING
Bonding, shaping, and contouring are major techniques in cosmetic dentistry that play a pivotal role in enhancing smiles and restoring dental aesthetics. Bonding is a procedure where tooth-colored resin material is applied to teeth to repair chips, cracks, or gaps. This technique allows dental professionals to expertly mold and shape the resin onto damaged areas, seamlessly blending it with natural teeth.
Shaping refers to the process of carefully reshaping individual teeth by removing small amounts of enamel. By skillfully sculpting and refining tooth structure, our dentist can rectify irregularities such as overlapping or misaligned teeth. Contouring focuses on improving overall smile harmony by gently modifying the length, shape, or position of specific teeth within the arch.
 
                          TEETH WHITENING
In-office teeth whitening treatments and take-home teeth whitening kits aim to restore a brighter and more radiant smile. In-office whitening treatments are performed by dental professionals within the comforting atmosphere of a dental clinic. This process typically involves applying a high-concentration bleaching gel directly onto the surface of the teeth, which is then activated using specialized UV lights to accelerate the whitening effects. The entire procedure usually takes about an hour or so, providing immediate results.
Take-home teeth whitening kits offer individuals the convenience of gradually brightening their smiles from the comfort of their own homes. These kits generally consist of custom-made trays that snugly fit over one's teeth and contain lower-concentration bleaching gels.
COSMETIC FACIAL MAKEOVERS
A cosmetic makeover is a personalized treatment that aims to enhance the overall appearance of an individual's smile. It encompasses a range of procedures that address various aesthetic concerns related to one's teeth, gums, and bite alignment. Each makeover is meticulously tailored to suit the unique needs and desires of the patient.
Porcelain veneers are incredibly thin shells made from high-quality ceramic material. These custom-made coverings are specifically designed to fit over the front surface of teeth, providing a natural-looking and aesthetically pleasing appearance. Porcelain veneers offer a versatile solution for addressing various dental imperfections such as chips, cracks, discoloration, misalignment, and irregularly shaped teeth.
INVISALIGN/CLEAR CORRECT
Invisalign and ClearCorrect are orthodontic treatment options that use virtually invisible aligners made from clear, medical-grade plastic. These aligners gently shift the teeth into their desired positions over time, discreetly improving smiles without the aesthetic drawbacks associated with traditional braces. The aligners are removable, allowing for easy maintenance of oral hygiene practices like brushing and flossing, promoting overall dental health during treatment.
Our dentist utilizes state-of-the-art computer imaging software to plan each step of tooth movement and create custom-made aligners tailored to fit snugly over a patient's teeth. Throughout the treatment journey, patients replace their aligners with new sets every one to two weeks until they achieve beautifully aligned teeth that enhance both aesthetics and functionality.
FACIAL REJUVENATION
Facial rejuvenation is an approach to revitalize and restore the skin's radiance. Through the utilization of Opus Plasma®, our skilled professionals excel at effectively renewing skin with precision and care. This cutting-edge technology allows us to perform precise and controlled skin resurfacing procedures that effectively address issues such as wrinkles, sun damage, age spots, acne scars, uneven texture, and pigmentation irregularities. By harnessing the power of Opus Plasma®, we are able to resurface the skin flawlessly, diminishing fine lines, wrinkles, sun damage, acne scars, pigmentation irregularities, and other common signs of aging or skin damage. With Opus Plasma®, our skilled professionals can help restore the skin's youthful radiance while ensuring minimal downtime.
OPUS PLASMA
Opus Plasma is a cutting-edge technology that introduces an innovative skin resurfacing treatment that delves deep into reversing years of aging, unveiling a complexion that exudes youthfulness and radiance. By permanently smoothing fine lines, tightening loose skin, blurring sunspots, and other signs of aging, Opus Plasma becomes the ultimate ally in regaining one's natural beauty.
As a hybrid radiofrequency and plasma device, it skillfully combines two powerful forces to achieve unparalleled results. Through the utilization of radiofrequency energy, Opus penetrates beneath the surface into the dermal layer, where it expertly stimulates fibroblast activity. These revitalized fibroblasts then work tirelessly to replenish collagen production and enhance overall skin elasticity, which are essential factors in maintaining youthful-looking skin.
UPNEEQ
If your eyes look and feel tired because you have droopy upper eyelids, Upneeq is the answer. These FDA-approved daily eyedrops work wonders by lifting your lids in just 15 minutes, delivering long-lasting results that will make your eyes appear more open and awake throughout the entire day.
As we age, our eyelid muscles tend to stretch and weaken, causing sagging and fatigue. However, with Upneeq's active drug Oxymetazoline at play, this remarkable formula works its magic by making a specific eyelid muscle contract, resulting in shorter and tighter lids. The outcome? Wider eyes that have a refreshed and youthful appearance while also enhancing the field of vision for those suffering from acquired ptosis.

 
                           
                           
                           
                           
                          