Everyone wants a movie star smile but few people realize just how easy it is to achieve a flawless smile thanks to cosmetic dentistry. The majority of those coveted movie star smiles are achieved with veneers. When completed by an aesthetics expert like Dr. Hlavaty, porcelain laminate veneers can provide an instant smile makeover like no other method can. He has helped all kinds of patients create the smiles of their dreams. If you find yourself holding back from smiling, laughing, or even speaking in front of others because you are self conscious of your smile or face, you might be the ideal candidate for cosmetic care. Dr. Hlavaty and his team deliver cosmetic dentistry that will undoubtedly give you the smile you’ve always wanted. At our dental office in Santa Barbara, we provide a full range of cosmetic dental & aesthetic treatments and services to help you achieve the smile you deserve.


To start things off, your dentist will ask you how you feel about your face & smile. We encourage you to be candid and honest about any issues or imperfections that make you feel self-conscious, and express to us what you would change about your smile. We don't just look at your teeth, but at your entire face, including the lips, jawline, & skin of the face & neck. The teeth are the main attraction, but all the areas that frame them are important too.

During your oral exam, your dentist will find out if you’re a good candidate for the cosmetic treatments you desire. Since cosmetic treatments have the best long term success when starting with healthy teeth as a foundation, your dentist will let you know if any restorative treatments are necessary before beginning your cosmetic care.

After your consultation and exam, your doctor will sit down with you to discuss all of your treatment options and create a customized cosmetic treatment plan based on your unique needs and desired outcome. The outline will help you understand every step of your treatment.

To assist in your decision, your dentist will provide you with a variety of different options. Together, you’ll choose the right cosmetic treatment for your needs, budget, and lifestyle.

Once you and your dentist have decided on the right cosmetic treatment plan, we’ll schedule your next appointment and provide guidance on how to best pay for your treatment including available financing options.
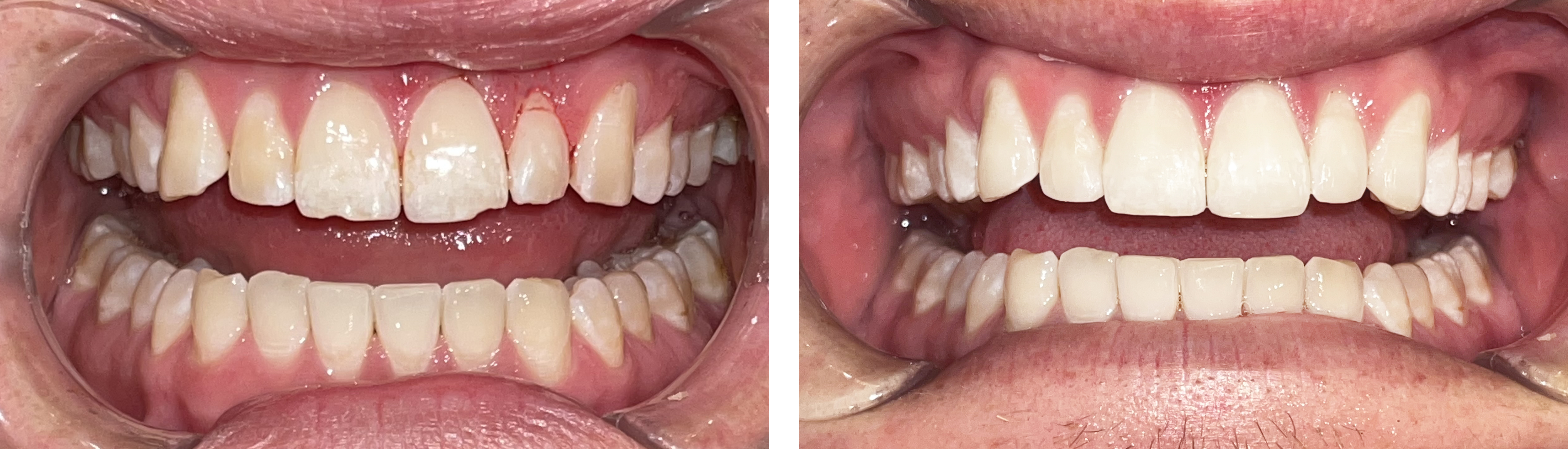
Porcelain Veneers are wafer-thin, tooth-colored shells made from modern high-strength tooth-colored ceramics that are affixed to the front side of your teeth. This cosmetic treatment can eliminate small gaps between teeth, as well as cover up the appearance of severe staining, misshapen or uneven teeth, and much more. To place veneers, your dentist will shave down the enamel so the porcelain shells don’t bulge or protrude from your smile. This is an irreversible procedure, so it’s an important consideration to make before committing to the treatment. However, veneers can completely transform your smile and will last for years before needing to be replaced, as long as they are cared for properly.

Dental Bonding is a non-invasive procedure in which your dentist will apply a dental resin (that matches the shade of your smile) to your teeth to repair damage or change the shape or color of a tooth. They will carefully sculpt the resin before curing it with a special UV light to restore the look, feel, and function of your smile. The whole process usually takes between 30-60 minutes for each tooth.
Tooth Shaping & Contouring, also known as enamel-plasty, is a cosmetic procedure that is often used in conjuction with dental bonding or done on its own. The Shape & Symmetry of Teeth Is An Important Part Of Beautiful Smile Aesthetics. The treatment involves the removal or smoothing of a thin layer of enamel from uneven, chipped, or sharp teeth to reshape them to ideal cosmetic contours.
Gum Shaping & Contouring, also known as gingival-plasty, is a cosmetic procedure that is often used in conjunction with dental bonding or Porcelain veneers. The Contour of the Gum Line Is An Important Part Of Beautiful Smile Aesthetics. The treatment involves the removal or smoothing of a thin layer of gum tissue using either a laser or an electro-surgical unit. These devices use high intensity light or radio frequency energy to to reshape the gums to ideal cosmetic contours.

Take-Home Whitening
To achieve a brighter smile with professional results from the comfort of your own home, we offer take-home whitening allowing you to gradually whiten your teeth over the course of a few weeks. To create your reusable custom whitening trays, we will take impressions or scans of your teeth and gums to ensure your trays fit perfectly. Once the custom trays have been crafted at our lab, we’ll try them in to assure proper fit and send you home with the whitening gel and a full set of instructions for proper use.
In-Office Whitening
In-office teeth whitening is a quick way to brighten your smile by whitening it up to 10 shades in a single session. If you’re looking to dramatically brighten your smile for an upcoming special occasion, you’ll love the immediate results from in-office whitening. To begin, your dentist will apply a special gel to your gums to keep them protected during the whitening process. To protect your cheeks & lips, retractors will be used to keep them protected. Once we’ve taken all the necessary precautions, a powerful whitening agent will be applied to your teeth and activated. The whitening will be allowed to work & then removed, revealing a brighter smile. For patients with extremely discolored teeth, the process may be repeated multiple times over the course of several visits to achieve your desired outcome.
If there are multiple aspects of your smile that you are unhappy with, or you are ready to get that beautiful smile & look you’ve always wanted, ask us about a full cosmetic makeover. We understand that your smile is based on a variety of factors that are totally unique to you: the shape of your face, the shape and size of your lips, the position of your cheek bones, your skin tone & surface, etc. We look at all aspects of the face, from the size/shape/color of your teeth, to the contours of the lips, surrounding facial structures, & skin.
A highly customized plan involving multiple procedures, a cosmetic makeover is tailored to address all of your smile needs. Since everyone's smile is unique, exact treatments will differ between patients. We will prepare a comprehensive plan that may include multiple cosmetic, restorative, & facial procedures that will be completed across several visits to help you achieve the smile & look of your dreams.
Invisalign & ClearCorrect are an excellent alternative to traditional orthodontics that utilize a series of clear aligners made from a durable clear plastic material. If you lead an active lifestyle, or don’t want to deal with the discomfort and look of metal or ceramic braces, this might be the solution you’ve been looking for.
With advances in aligner technology, we can now utilize the treatment to correct more complex orthodontic issues than ever before. Get in touch with us today to set up a consultation and find out if Invisalign/ClearCorrect is right for you.
Botox, or botulinum toxin, is an injectable product typically used to help relax tension in facial muscles resulting in the smoothing of wrinkles & fine lines in your skin. It is also used to provide patients with relief from chronic migraine headaches and TMJ/TMD (temporomandibular joint disorders). Because dentists are experts when it comes to facial anatomy, they are the ideal doctors for administering Botox.
Dermal fillers come in a variety of forms and are injected underneath the skin to enhance facial features like the lips, cheeks & jawline. Fillers can also rejuvenate and plump up aging skin to restore your youthful look and complement your smile. If you’re looking to enhance sagging cheeks or thinning lips, fillers may be right for you.
Facial Rejuvenation is a non-surgical approach to repair and renew the skin. Lasers used to be the only method of performing skin resurfacing, but now there are more effective methods available. Skin resurfacing can address a large range of skin issues from minor to severe. Here at Hlavaty Dental Arts, we use Opus Plasma® to help rejuvenate the skin and restore it's youthful appearance.
Opus Plasma® is a new type of skin resurfacing technology that is more advanced than traditional laser resurfacing techniques. Opus Plasma® is a cutting-edge technology that only hit the market in 2020. An innovative, first-of-its-kind radiofrequency skin resurfacing technology that improves the skin’s tone and texture with treatments that take 10 to 15 minutes and require minimal down time.
Less-invasive cosmetic procedures are on the rise as people are trying to enhance their natural beauty with less down time. The Opus Plasma is brand new technology offering a new skin resurfacing treatment to reverse years of aging. Permanently smooth fine lines, tighten skin, blur sun and aging spots, and reduce stretch marks.
Opus is a hybrid Radiofrequency + Plasma device. It uses RF energy to penetrate into the dermal layer, stimulating fibroblast activity. Fibroblasts control the formation of new collagen and elastin in the skin creating a tightening effect. At the same time, the specialized tip on the opus causes a fractionated plasma spark, creating a small controlled injury on the skin forcing a healing response. The result is smoothing and brightening of the epidermal layer of the skin.
If your eyes look and feel tired because you have droopy upper eyelids (ptosis), Upneeq is a new, easy, non-invasive solution. These FDA-approved daily eyedrops lift up your lids in 15 minutes for long-lasting results. One dose will make your eyes look more open and awake all day long. As we age, muscles in the eyelids stretch and weaken. The active drug in Upneeq®, Oxymetazoline, works by making a certain eyelid muscle get shorter and tighter (contract). Wider eyes create a less tired, more youthful appearance. It also helps improve the field of vision for people suffering from acquired ptosis.
With cosmetic dentistry, we can solve almost any aesthetic issue you can think of. Patients with yellow or stained teeth can whiten their teeth for a brighter smile. Dental bonding, shaping can transform the shape of teeth to fix minor cracks and chips, or to even out your smile to get it back to a natural, aesthetically pleasing look. Recontouring of the teeth can make older worn down smiles look young again. Veneers can close gaps, cover severe stains, and fix the look of slightly crooked or crowded teeth. Dental crowns can also be used for cosmetic purposes, though they are reserved for teeth that have experienced more extensive decay or damage. Skin resurfacing can reduce fine lines & wrinkles as well as helping pigmentation issues & acne scarring.
If you’re in good oral and overall health, chances are that you are a good candidate for cosmetic dentistry.
If you’re struggling with oral health issues like gum disease, cavities, or occlusal issues, you may require restorative or orthodontic treatments before beginning any cosmetic procedures.
Opus Plasma facial skin treatments are available to all skin types, unlike the laser treatments of the past which are typically limited to lighter skin types.
Yes! It’s not uncommon to undergo multiple cosmetic dental procedures at the same time. Some services, like dental bonding and enameloplasty, are almost always performed in tandem. Cosmetic makeovers involve the using a combination of a variety of cosmetic treatments to completely transform a patient’s face & smile.
Every insurance plan is different, but most do not cover cosmetic dental care, as cosmetic cases are often listed as elective, or unnecessary to your oral health, by insurance companies. Some treatments, like veneers or dental crowns, may be partially covered by some insurance plans, but this is not very common. Because of this, you will likely need to pay for cosmetic treatment out-of-pocket. To get an idea of the scope of your dental insurance coverage, contact your insurer directly, or get in touch with our team to see if we can assist you with discounts, payment plans, or financing options so you can get the smile you deserve.